Skip to content

Microdesign

Menu
  • Kezdőlap
  • Kapcsolat
Menu
Bölcsességfog eltávolítása a MyDent fogorvos Budapesten

Bölcsességfog eltávolítása a MyDent fogorvos Budapesten

Posted on 2025-11-07

Fájdalommentes bölcsességfog eltávolítása Budapest szívében, korszerű módszerekkel a MyDent Fogászaton.

Bölcsességfog problémák és a bölcsességfog eltávolítása

A bölcsességfog számos kellemetlen problémát okozhat életünk során, ha nem megfelelően tör elő vagy egyáltalán nem képes kibújni. Ezek a fogak gyakran torlódást, gyulladást, fájdalmat vagy akár szájzárat is előidézhetnek, jelentősen befolyásolva mindennapi életminőségünket. Evolúciós maradványfogként is ismert harmadik őrlőfogaink a modern ember számára már nem töltik be eredeti funkcióikat, mivel állkapcsunk az évezredek során kisebb lett. A szakszerű bölcsességfog eltávolítása sokszor elkerülhetetlen beavatkozássá válik, amikor ezek a fogak problémát okoznak vagy potenciális veszélyt jelentenek a szájüreg egészségére.

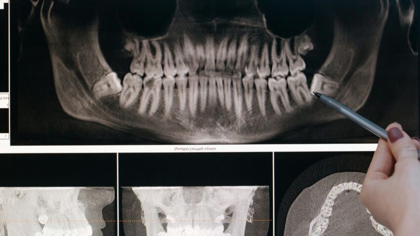
A bölcsességfogak eltávolítása mellett szóló érvek között szerepel, hogy nehezen tisztíthatók, ezért könnyen szuvasodnak, valamint gyakran nekidőlnek a szomszédos fogaknak, károsítva azokat. Rágásban már nincs jelentős szerepük, viszont gondozásuk, esetleges kezelésük különösen nehézkes lehet elhelyezkedésük miatt. A panoráma röntgenfelvétel elkészítése elengedhetetlen lépés a bölcsességfog állapotának felméréséhez és a megfelelő kezelési terv kialakításához. A korai diagnosztika és beavatkozás segíthet elkerülni a későbbi, esetleg súlyosabb komplikációkat.

MyDent fogorvos Budapest

A MyDent fogorvos Budapest rendelőjében Dr. Einetter Katalin és Dr. Léder Attila magasan képzett szakorvosok várják a pácienseket a bölcsességfog műtétekkel kapcsolatban is. Szakértelmük és több éves tapasztalatuk garantálja, hogy a beavatkozások a lehető legkíméletesebben, modern eszközökkel és módszerekkel történjenek. A budapesti II. kerületben, a Margit körút 15-17. szám alatt található rendelő könnyen megközelíthető helyen várja a pácienseket, ahol a legmodernebb technológiák állnak rendelkezésre a biztonságos és sikeres beavatkozásokhoz.

A MyDent Fogászat különös figyelmet fordít a páciensek komfortérzetére, ezért a bölcsességfog műtéteket igény esetén altatásban is elvégzik. A beavatkozás előtt részletes konzultáción vehet részt minden páciens, ahol a szakorvosok elmagyarázzák a műtét menetét, és válaszolnak minden felmerülő kérdésre. A rendelőben használt modern eszközöknek és minőségi anyagoknak köszönhetően időtálló beavatkozásokat végeznek, ami hosszú távon biztosítja a páciensek elégedettségét és egészségét.

A bölcsességfog műtét menete és a beavatkozás utáni teendők

A bölcsességfog műtét folyamata a MyDent rendelőben minden esetben alapos előkészületekkel kezdődik, amelyek során panoráma röntgenfelvétel és szükség esetén CBCT (fogászati CT) készül. Ezek alapján a fogorvos pontosan meg tudja határozni a bölcsességfog helyzetét és a műtét optimális módját, különösen akkor, ha a fog részben vagy teljesen a csontban fekszik. A beavatkozás során első lépésként feltárják a bölcsességfogat, majd szükség esetén szeletekre vágják és így távolítják el, végül gondosan kitisztítják a sebet és összevarrják.

A bölcsességfog eltávolítása után különösen fontos a műtét utáni előírások betartása, amelyeket részletesen ismertetnek a páciensekkel. A gyógyulási időszak általában 3-4 hétig tart, amely során különös figyelmet kell fordítani a megfelelő szájhigiéniára és az étkezési előírások betartására. A MyDent szakorvosai szükség esetén antibiotikumot is felírnak a fertőzések megelőzésére, valamint részletes tájékoztatást adnak a lehetséges szövődményekről, mint például vérzés, duzzanat vagy szájzár esetén követendő lépésekről. A sikeres gyógyuláshoz elengedhetetlen a dohányzás, az erős fizikai munka és a forró ételek, italok kerülése az első napokban.

Személyre szabott ellátás és időpontfoglalás a MYdent Fogászati Rendelőben

A MYdent Fogászati Rendelőben kiemelt figyelmet fordítanak a személyre szabott ellátásra, figyelembe véve minden páciens egyedi igényeit és egészségi állapotát. A bölcsességfog problémák kezelése során is személyre szabott megközelítést alkalmaznak, amely biztosítja a legoptimálisabb eredményt minden esetben. Az időpontfoglalás kényelmesen intézhető telefonon a +36 30 3507928 számon vagy online a rendelő weboldalán keresztül, ahol 24 órán belül visszahívják a jelentkezőket munkanapokon.

A MyDent Fogászat több mint 600 ötcsillagos véleménnyel rendelkezik, ami egyértelműen mutatja a páciensek elégedettségét és a rendelő megbízhatóságát. A megfizethető árak és a minőségi, időtálló kezelések kombinációja teszi a rendelőt ideális választássá mindazok számára, akik bölcsességfog problémákkal küzdenek. A korszerű, modern környezetben végzett beavatkozások és a szakértő orvosi csapat együttesen garantálják a sikeres kezeléseket és a gyors felépülést, hogy a páciensek mihamarabb visszatérhessenek a mindennapi életükhöz, immár fogászati problémák nélkül.

« Előző: Munkaügyi jogász Budapest – Újváry Zsolt Ügyvédi Iroda
Teraszbeépítés a Caribi Télikert Kft. kínálatában :Következő »

Legutóbbi bejegyzések

  • Vízszivárgás keresés a Csötörésprofi csőtörés bemérés szolgáltatásában
  • Fiat alufelni az AluFelni.eu felni áruház kínálatában
  • Látásromlás okai és kezelési lehetőségei: mikor érdemes szemészhez fordulni?
  • Piercinggel a migrén ellen? Van, akinek már bejött!
  • Altatásos fogászat Budapest: MyDent fogászat szolgáltatása

Kategóriák

  • Ajtó
  • Autó-Motor
  • Egészség
  • Egyéb
  • Étel-Ital
  • Hitel- Bank
  • Képzés
  • Klíma
  • Kreatív ötletek
  • Kreativitás
  • Plasztikai sebészet
  • Szállás
  • Szolgáltatás
  • Szórakozás
  • Utazás
  • Vásárlás
  • Víztisztítás
  • Webáruház

Címkék

hátfájás kezelése műkörmös eszközök szemészeti betegségek
©2026 Microdesign | Design: Newspaperly WordPress Theme
Hozzájárulás kezelése

A legjobb felhasználói élmény biztosítása érdekében olyan technológiákat használunk, mint például a cookie-k, amelyek tárolják az eszközinformációkat és/vagy hozzáférnek azokhoz. Ezen technológiákhoz való hozzájárulás lehetővé teszi számunkra, hogy olyan adatokat dolgozzunk fel ezen az oldalon, mint a böngészési viselkedés vagy az egyedi azonosítók. A hozzájárulás elmaradása vagy visszavonása hátrányosan befolyásolhat bizonyos funkciókat és funkciókat.

Funkcionális Always active
A technikai tárolás vagy hozzáférés szigorúan szükséges az előfizető vagy felhasználó által kifejezetten kért konkrét szolgáltatás igénybevételének lehetővé tételéhez, vagy kizárólag a kommunikáció elektronikus hírközlő hálózaton keresztül történő továbbításához.
Preferences
The technical storage or access is necessary for the legitimate purpose of storing preferences that are not requested by the subscriber or user.
Statisztikák
The technical storage or access that is used exclusively for statistical purposes. A technikai tárolás vagy hozzáférés, amelyet kizárólag anonim statisztikai célokra használnak. Idézés, az Ön internetszolgáltatójának önkéntes hozzájárulása vagy harmadik féltől származó további nyilvántartások nélkül a kizárólag ebből a célból tárolt vagy lekérdezett információk általában nem használhatók fel az Ön azonosítására.
Marketing
The technical storage or access is required to create user profiles to send advertising, or to track the user on a website or across several websites for similar marketing purposes.
Manage options Manage services Manage {vendor_count} vendors Read more about these purposes
Beállítások megtekintése
{title} {title} {title}