Skip to content

Microdesign

Menu
  • Kezdőlap
  • Kapcsolat
Menu
fogpótlás

A fogpótlás nem mindig jár fájdalommal

Posted on 2023-05-05

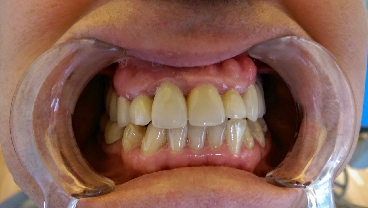
A fogászati implantátum egy titán csavar, amit az elveszített fog vagy fogak helyére helyeznek az állcsontba, a csontszövettel összeolvadva pedig természetes gyökérként szolgál. Intézményünk valószínűleg az egyik legtapasztaltabb fogászati klinika a fogpótlás terén és már több éve kínál kiváló minőségű fogászati implantátumokat.

A fog implantátum behelyezése a legtöbb esetben helyi érzéstelenítéssel történik. Azoknál a pácienseknél, akik megfelelő csontvastagsággal és -sűrűséggel rendelkeznek, a fogászati implantátumok műtét vagy varratszedés nélkül is beültethetőek.

Mottónk, hogy pácienseink barátságos környezetben, felesleges fájdalom és kellemetlenségek elszenvedése nélkül kapjanak tökéletes mosolyt.

A több száz páciens kezelése után szerzett tapasztalataink alapján tudjuk, hogy a különböző gyártók egyes implantátumai jobban megfelelnek az egyik csont állapotának, mint a másiknak. Klinikánkon ezért kiváló minőségű fogászati implantátumokat használunk a fogpótlás során, a szakmában elismert márkáktól.

« Előző: Ketogén diéta a látható fogyásért
Orvosi klumpa ápolóknak és sebészeknek :Következő »

Legutóbbi bejegyzések

  • Szemműtét ellenjavallatok 50 év felett: mikor kell óvatosnak lenni?
  • Teljeskörű lakásfelújítás panelben és téglalakásban: mire kell máshogy figyelni?
  • Műkörmös eszközök sterilizálása: ezeket a lépéseket kövesd!
  • Antenna kábel választása – koaxiális kábelek
  • Locsolótömlők a modern kertgondozásban

Kategóriák

  • Ajtó
  • Autó-Motor
  • Egészség
  • Egyéb
  • Étel-Ital
  • Hitel- Bank
  • Képzés
  • Klíma
  • Kreatív ötletek
  • Kreativitás
  • Plasztikai sebészet
  • Szállás
  • Szolgáltatás
  • Szórakozás
  • Utazás
  • Vásárlás
  • Víztisztítás
  • Webáruház

Címkék

hátfájás kezelése műkörmös eszközök szemészeti betegségek
©2026 Microdesign | Design: Newspaperly WordPress Theme
Hozzájárulás kezelése

A legjobb felhasználói élmény biztosítása érdekében olyan technológiákat használunk, mint például a cookie-k, amelyek tárolják az eszközinformációkat és/vagy hozzáférnek azokhoz. Ezen technológiákhoz való hozzájárulás lehetővé teszi számunkra, hogy olyan adatokat dolgozzunk fel ezen az oldalon, mint a böngészési viselkedés vagy az egyedi azonosítók. A hozzájárulás elmaradása vagy visszavonása hátrányosan befolyásolhat bizonyos funkciókat és funkciókat.

Funkcionális Always active
A technikai tárolás vagy hozzáférés szigorúan szükséges az előfizető vagy felhasználó által kifejezetten kért konkrét szolgáltatás igénybevételének lehetővé tételéhez, vagy kizárólag a kommunikáció elektronikus hírközlő hálózaton keresztül történő továbbításához.
Preferences
The technical storage or access is necessary for the legitimate purpose of storing preferences that are not requested by the subscriber or user.
Statisztikák
The technical storage or access that is used exclusively for statistical purposes. A technikai tárolás vagy hozzáférés, amelyet kizárólag anonim statisztikai célokra használnak. Idézés, az Ön internetszolgáltatójának önkéntes hozzájárulása vagy harmadik féltől származó további nyilvántartások nélkül a kizárólag ebből a célból tárolt vagy lekérdezett információk általában nem használhatók fel az Ön azonosítására.
Marketing
The technical storage or access is required to create user profiles to send advertising, or to track the user on a website or across several websites for similar marketing purposes.
Manage options Manage services Manage {vendor_count} vendors Read more about these purposes
Beállítások megtekintése
{title} {title} {title}